SimClinic

Simclinic Zabiegi

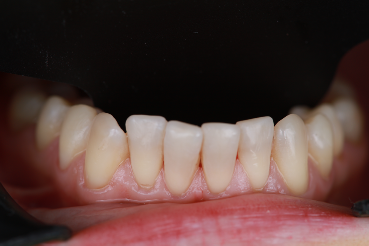
Przebudowa zgryzu i ekwilibracja

W Medycynie Simclinic zajmujemy się kompleksową diagnostyką oraz leczeniem zaburzeń zwarcia, które mogą prowadzić nie tylko do ścierania zębów, ale także do bólu mięśni, problemów ze stawami skroniowo-żuchwowymi czy pękania wypełnień i koron.
 
Przebudowa zgryzu oraz ekwilibracja to nowoczesne procedury stomatologiczne, których celem jest przywrócenie prawidłowych kontaktów między zębami oraz równowagi w całym układzie żucia.
 
 

Czym jest przebudowa zgryzu?

 
Przebudowa zgryzu to kompleksowe leczenie polegające na odtworzeniu prawidłowej wysokości oraz relacji między zębami górnymi i dolnymi. Zabieg jest konieczny w sytuacjach, gdy naturalne struktury zębów zostały zniszczone przez:
• zaawansowane starcie zębów (bruksizm)
• liczne ubytki i stare wypełnienia
• brak zębów
• nieprawidłowe leczenie protetyczne w przeszłości
• przeciążenia zgryzowe
 
Proces przebudowy obejmuje dokładną diagnostykę, analizę zwarcia oraz etapowe odbudowywanie kształtu zębów przy użyciu nowoczesnych materiałów kompozytowych lub prac protetycznych.
 
 

Na czym polega ekwilibracja zgryzu?

 
Ekwilibracja to precyzyjna korekta kontaktów między zębami polegająca na minimalnym, kontrolowanym kształtowaniu ich powierzchni. Celem zabiegu jest:
• równomierne rozłożenie sił żucia,
• eliminacja przeciążeń zębów,
• poprawa pracy stawów skroniowo-żuchwowych,
• zmniejszenie napięcia mięśniowego.
 
Procedura wykonywana jest wyłącznie po dokładnej analizie zwarcia i często stanowi element większego planu leczenia funkcjonalnego.
 
 

Objawy wskazujące na potrzebę korekty zgryzu

 
Nieprawidłowe kontakty zębowe mogą powodować wiele dolegliwości, które nie zawsze są kojarzone ze stomatologią. Najczęstsze objawy to:
• ścieranie lub pękanie zębów,
• bóle głowy i napięcia mięśni twarzy,
• trzaski w stawach skroniowo-żuchwowych,
• nadwrażliwość zębów,
• częste uszkodzenia wypełnień lub koron,
• uczucie „niewygodnego” zgryzu.
 
Wczesna diagnostyka pozwala zapobiec poważniejszym problemom funkcjonalnym.
 
 

Efekty przebudowy zgryzu

 
Prawidłowo przeprowadzona terapia pozwala uzyskać:
• poprawę komfortu żucia,
• zmniejszenie napięcia mięśniowego,
• ochronę zębów przed dalszym ścieraniem,
• większą trwałość wypełnień i prac protetycznych,
• poprawę estetyki uśmiechu.
 
Leczenie funkcjonalne często wpływa nie tylko na zdrowie jamy ustnej, ale również na ogólne samopoczucie pacjenta.
 
 

Kompleksowe leczenie funkcjonalne

 
Przebudowa zgryzu to zaawansowany proces wymagający doświadczenia, precyzji oraz nowoczesnej diagnostyki. Indywidualne podejście pozwala dobrać rozwiązania dopasowane do potrzeb pacjenta oraz zapewnić stabilne, długoterminowe efekty leczenia.
 
Jeśli zauważasz objawy przeciążenia zębów lub chcesz poprawić funkcję swojego zgryzu, umów się na konsultację i sprawdź możliwości nowoczesnej stomatologii funkcjonalnej.

Lekarze wykonujący zabieg

Anna Schreiber

Lekarz dentysta

Współzałożycielka i współwłaścicielka SimClinic. Od ukończenia studiów na Gdańskim Uniwersytecie Medycznym zdobywała wiedzę i doświadczenie w kilku trójmiejskich gabinetach - aż do powstania SimClinic w 2015 roku gdzie zapuściła korzenie na stałe.

Metamorfozy

Umów się na wizytę

    Zapraszamy na konsultacje stomatologiczne, chętnie doradzimy i wspólnie ustalimy plan leczenia. Do zobaczenia!

    x

    Umów się na wizytę

       
      SimClinic
      Przegląd prywatności

      Ta strona korzysta z ciasteczek, aby zapewnić Ci najlepszą możliwą obsługę. Informacje o ciasteczkach są przechowywane w przeglądarce i wykonują funkcje takie jak rozpoznawanie Cię po powrocie na naszą stronę internetową i pomaganie naszemu zespołowi w zrozumieniu, które sekcje witryny są dla Ciebie najbardziej interesujące i przydatne.